Midelerinde uyuşturucu taşıyan 3 kurye yakalandı

Midelerinde uyuşturucu taşıyan 3 kurye yakalandı

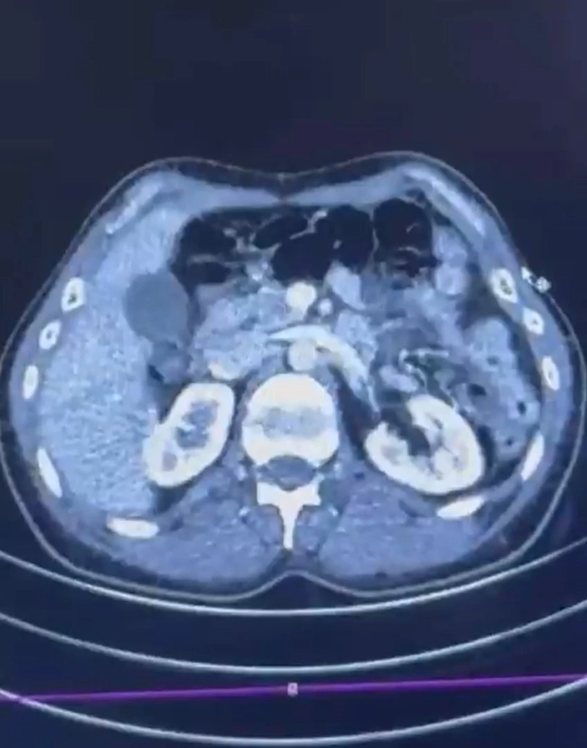
İran'dan Türkiye'ye gelen 3 kurye şüphelisinin midesinde kapsül halinde 554 gram uyuşturucu ele geçirildi; zanlılar gözaltına alındı.

Kayseri İl Emniyet Müdürlüğü Narkotik Suçlarla Mücadele Şube Müdürlüğü ekipleri, uluslararası uyuşturucu ticaretine yönelik çalışmada İran'dan Türkiye'ye gelen 3 şüpheliyi yakaladı. Yapılan çalışmada, İran’dan Türkiye’ye uyuşturucu madde getirdiği tespit edilen S.C., R.B.C. ve G.M. hakkında operasyon düzenlendi. Gözaltına alınan şüphelilerden S.C. ve R.B.C.’nin Kayseri Şehir Hastanesi’nde yapılan iç beden muayenesinde, mide kısmında kapsüller tespit edildi. Yapılan incelemede, 50 adet kapsül içerisinde toplam 554 gram uyuşturucu madde ele geçirildi. Şüpheliler hakkında “Uyuşturucu madde ticareti yapmak” suçundan işlem başlatıldı.

Kayseri İl Emniyet Müdürlüğü, uyuşturucu ve uyarıcı madde satıcılarına karşı mücadelenin aralıksız ve kararlı şekilde sürdürüleceğini açıkladı.

Haber: Abdurrahman REYHANLI
SİZİN DÜŞÜNCELERİNİZ